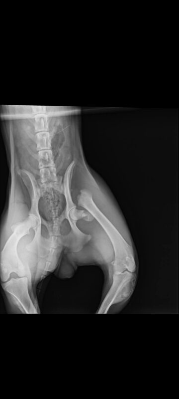
Η σημερινή επίσκεψη στην Κτηνίατρο Vasilia Ziogou έγινε χάρις την αγαπημένη μας Νεράιδα Katerina Papapostolou και το Ζω.ες που κάλυψε τα πρώτα έξοδα… Η Κατερίνα μας, γράφει μέρα νύχτα τα υπέροχα βιβλία της προκειμένου να βοηθήσει κάθε πονεμένο πλάσμα που βρίσκεται στον δρόμο της…Οι ακτινογραφίες έδειξαν αποκοπή της κεφαλής του μοιραίου οστού στο αριστερό πόδι. Για να σταθεί ξανά στα πόδια της είναι απαραίτητο το χειρουργείο. Είμαστε σε επαφή με κτηνιάτρους ώστε να μάθουμε το κόστος της επέμβασης…Το κορίτσι μας απολαμβάνει την βόλτα της με το αυτοκίνητο προς το παρόν κι εμείς βασιζόμαστε στην βοήθεια όλων σας…
You May Also Like
Νέα διάκριση για την Ελλάδα: 5 ελληνικοί προορισμοί στους 15 καλύτερους της Ευρώπης
Table of Contents Hide Νέα διάκριση για την Ελλάδα: 5 ελληνικοί προορισμοί…
- Ορίζοντες
- 12/03/2021
Η Ν.Ε. ΣΥΡΙΖΑ Καστοριάς απαντά στη ΝΟΔΕ: «Ντίλερ ιδιωτικών συμφερόντων;»
Η Ν.Ε. ΣΥΡΙΖΑ Καστοριάς απαντά στη ΝΟΔΕ: «Ντίλερ ιδιωτικών συμφερόντων;»
- Ορίζοντες
- 01/02/2018
Μαρία Αντωνίου: “Ξεκινάει άμεσα η καταβολή της Έκτακτης Επιχορήγησης σε επιχειρήσεις του κλάδου γούνας”
Η Μαρία Αντωνίου δήλωσε πως, “πρόκειται για μία ακόμη θετική εξέλιξη που αφορά την επιχειρηματικότητα της περιοχής και ειδικότερα του κλάδου της Γουνοποιίας.
- Α. Μ.
- 24/01/2024
Photostory από το πολύ μεγάλο παιχνίδι απέναντι στην Καστοριά και την νίκη με 66-64!
Τον αγώνα παρακολούθησε και ο Δημήτρης Διαμαντίδης!
- Α. Μ.
- 26/03/2024
Αντίστροφη μέτρηση για την έναρξη της «Μαγικής Λιμνοπολιτείας»!
Ο Πινόκιο, η Πέγκυ Ζήνα, η Marseaux και πολλές ακόμα εκπλήξεις έρχονται στην Καστοριά!
- Α. Μ.
- 28/11/2024
Καστοριά: Στο Απόζαρι αναβιώνει η Ροδάνη
Ένα ρεπορτάζ της ERT NEWS για τη Ροδάνη στο Απόζαρι
- Α. Μ.
- 22/04/2025
Η ποδηλασία στη ζωή μας… Γράφει ο Δημήτρης Κοντονίνας (Πλούσιο Φωτορεπορτάζ)
Η ποδηλασία στη ζωή μας… Γράφει ο Δημήτρης Κοντονίνας (Πλούσιο Φωτορεπορτάζ)
- Ορίζοντες
- 17/05/2020
H γιορτή για το νέο έτος του Συνδέσμου Ελλήνων Γουνοποιών [Φωτορεπορτάζ]
H γιορτή για το νέο έτος του Συνδέσμου Ελλήνων Γουνοποιών
- Ορίζοντες
- 05/01/2018
Με μεγάλη επιτυχία ολοκληρώθηκαν οι διασυλλογικοί αγώνες του Ναυτικού Ομίλου Καστοριάς
Με μεγάλη επιτυχία ολοκληρώθηκαν οι διασυλλογικοί αγώνες του Ναυτικού Ομίλου Καστοριάς
- Ορίζοντες
- 23/09/2019
Μαρία Αντωνίου: 5 Φεβρουαρίου οι πληρωμές για τις Αναστολές Δεκεμβρίου
Υπογράφηκε από την Υπουργό η σχετική Απόφαση των πληρωμών Δεκεμβρίου για τις Αναστολές συμβάσεων εργασίας στον κλάδο της γουνοποιίας
- Α. Μ.
- 01/02/2024



